www.annscri.org

Clinical Image

Open Access, Volume 2

Acute esophageal necrosis – A rare and striking entity

Tim Harding*; Orla McCormack

Department of Upper Gastrointestinal Surgery, Mater Misericordiae University Hospital, Dublin, Ireland.

Manuscript Information: Received: July 22, 2025 Accepted: Aug 27, 2025 Published Online: Sep 03, 2025

Journal: Annals of Surgical Case Reports & Images

Online edition: https://annscri.org

Copyright: © Harding T (2025). This Article is distributed under the terms of Creative Commons Attribution 4.0 International License.

Cite this article: Harding T, McCormack O. Acute esophageal necrosis – A rare and striking entity. Ann Surg Case Rep Images. 2025; 2(2): 1094.

Introduction

A 28-year-old male presented to the emergency department with intractable vomiting and retrosternal chest pain on a background of poorly controlled type 1 diabetes mellitus. Laboratory investigations demonstrated a neutrophilic leukocytosis as well elevated blood glucose (18) and ketones (4.6), serum lactate was normal at 1.2. A diagnosis of evolving diabetic ketoacidosis was made and initial management with glucose control and hydration commenced.

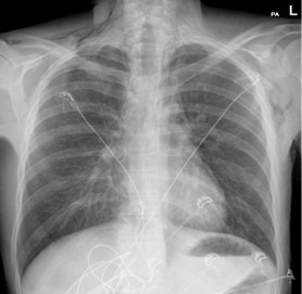
A chest X-ray performed (Figure 1) in the Emergency Department demonstrated significant subcutaneous emphysema. Subsequent computed tomography of the thorax showed extensive pneumomediastinum with a locule of intramural gas possibly reflecting a focal rupture point (Figure 2).

An emergency Oesophagogastricduodenoscopy (OGD) was performed which demonstrated a black oesophagus with an abrupt and striking cut-off at the oesophagogastric junction (Figure 3). A diagnosis of Ecute Esophageal Necrosis (AEN) was made.

The patient was managed conservatively with bowel rest and total parenteral nutrition for a total of 2 weeks. A gastrograffin swallow was performed after 7 days demonstrated no persistent leak. A repeat OGD 14 days later demonstrated a marked improvement with near complete resolution (Figure 4).

Although a rare entity, AEN should be considered in the setting of chest pain especially on a background of diabetes mellitus and intractible vomiting. Failure to diagnose and commence appropriate management can result in significant morbidity and mortality. Oesophageal stricture formation is seen in up to 10% of patients following AEN, therefore adequate clinical follow-up is vital.

Figure 1: Chest X-Ray.

Figure 2: CT Thorax.

Figure 3: OGD_1.

Figure 4: OGD_2.